江口乡卫生院与柳州市人民医院胸痛中心上下联动、快速转诊,成功救治一例急性心肌梗死患者

发布日期:2023-02-24 18:01
来源:江口乡卫生院
  • 字体大小:[
  • ]



“医生!医生!快点过来,我妈喊胸口痛”,一场与死神赛跑的接力开始了!

2月22日早上7时45分,江口乡卫生院接诊一位胸痛患者,自述持续胸痛1小时症状得不到缓解接诊医师立即为患进行病史询问、生命体征监测、心电图检查,747分心电图检查提示急性前壁心肌梗死,7时51分完成抽血查心肌酶检查,经检查初步判断为急性心肌梗死,接医生立即患者心电图检查结果上传至柳州市人民医院胸痛中心微信群同时迅速给双抗、稳定血压、开通静脉通路、吸氧、心电监测等基础治疗,并建议家属立即将患者转至胸痛中心。

江口乡卫生院距离柳州市人民医院胸痛中心车程仅为20余分钟,目前最佳治疗方案为急诊PCI,家属同意转诊后卫生院及时联系柳州市人民医院胸痛中心,市人民医院导管室接到通知后立即开通胸痛绿色通道一键启动导管室,进行急诊冠状动脉介入手术前的相关准备。8时15分患者转出卫生院,直达柳州市人民医院导管室急诊PCI。



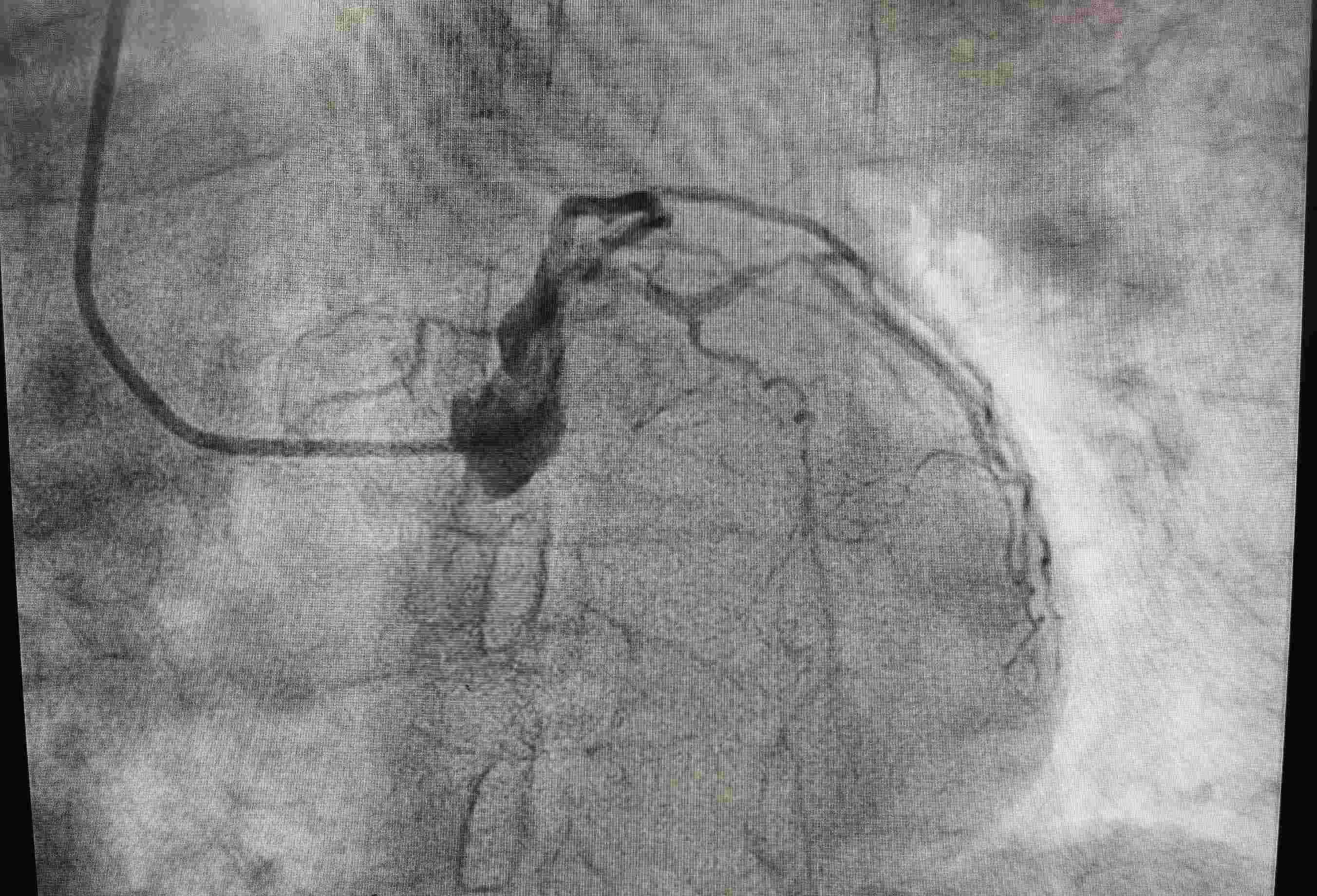
术前血管堵塞造影图片


术后血管堵塞造影图片


转诊后,卫生院及时向柳州市人民医院胸痛中心追踪病人的治疗情况,经了解,该患者左前降支近中端次全闭塞、左前降支远端血流TIMI2级、旋支中端狭窄85%、右冠脉近段狭窄60%,置入支架1枚,经过及时救治、患者已转危为安!   

江口乡卫生院于2022年9月份通过了胸痛单元的验收。因距离市区车程仅20余分钟,卫生院在救治急性心肌梗死患者上首选转运至上级胸痛中心行急诊PCI手术为主。此例患者卫生院医生能及时识别高危胸痛,迅速转诊,与柳州市人民医院完美接力,为患者争取了宝贵的时间,让患者顺利转诊得到救治,同时也是基层胸痛救治单元与市级胸痛中心联合救治模式的又一成功体现。刘翠芳)



打印本页 关闭

版权所有:(C) 2016 鹿寨县人民政府 主办:柳州市鹿寨县人民政府 承办:鹿寨县信息化建设中心 网站标识码:4502230046 维护电话:0772-6819789 仅受理网站建设维护相关事宜

地址:鹿寨县创业路2号 政府热线电话:0772-6812345 县政府邮箱:lzxzfbgs@126.com 投稿:lzzfw@126.com

桂ICP备06009684号-1 桂公网安备 45022302000043号 

返回 部门信息 导航
江口乡卫生院与柳州市人民医院胸痛中心上下联动、快速转诊,成功救治一例急性心肌梗死患者

发布时间:2023-02-24 18:01 来源:江口乡卫生院



“医生!医生!快点过来,我妈喊胸口痛”,一场与死神赛跑的接力开始了!

2月22日早上7时45分,江口乡卫生院接诊一位胸痛患者,自述持续胸痛1小时症状得不到缓解接诊医师立即为患进行病史询问、生命体征监测、心电图检查,747分心电图检查提示急性前壁心肌梗死,7时51分完成抽血查心肌酶检查,经检查初步判断为急性心肌梗死,接医生立即患者心电图检查结果上传至柳州市人民医院胸痛中心微信群同时迅速给双抗、稳定血压、开通静脉通路、吸氧、心电监测等基础治疗,并建议家属立即将患者转至胸痛中心。

江口乡卫生院距离柳州市人民医院胸痛中心车程仅为20余分钟,目前最佳治疗方案为急诊PCI,家属同意转诊后卫生院及时联系柳州市人民医院胸痛中心,市人民医院导管室接到通知后立即开通胸痛绿色通道一键启动导管室,进行急诊冠状动脉介入手术前的相关准备。8时15分患者转出卫生院,直达柳州市人民医院导管室急诊PCI。



术前血管堵塞造影图片


术后血管堵塞造影图片


转诊后,卫生院及时向柳州市人民医院胸痛中心追踪病人的治疗情况,经了解,该患者左前降支近中端次全闭塞、左前降支远端血流TIMI2级、旋支中端狭窄85%、右冠脉近段狭窄60%,置入支架1枚,经过及时救治、患者已转危为安!   

江口乡卫生院于2022年9月份通过了胸痛单元的验收。因距离市区车程仅20余分钟,卫生院在救治急性心肌梗死患者上首选转运至上级胸痛中心行急诊PCI手术为主。此例患者卫生院医生能及时识别高危胸痛,迅速转诊,与柳州市人民医院完美接力,为患者争取了宝贵的时间,让患者顺利转诊得到救治,同时也是基层胸痛救治单元与市级胸痛中心联合救治模式的又一成功体现。刘翠芳)



版权所有:(C) 2016 鹿寨县人民政府

地址:鹿寨县创业路2号 政府热线电话:0772-6812345

县政府邮箱:lzxzfbgs126.com 投稿:lzzfw126.com

维护电话:0772-6819789 网站标识码:4502230046