区级认证!鹿寨这项技术为柳州市县域内唯一!

发布日期:2024-09-17 10:55
来源:鹿寨县融媒体中心
  • 字体大小:[
  • ]

近日,鹿寨县中医医院开展的人工膝关节置换技术通过区级卫生行政部门临床应用能力评估,并获得柳州市骨科质控中心批准认可。这项技术不仅成为鹿寨县医疗领域的唯一,该院也成为柳州市县域内唯一一家具有开展此项技术资质的三级中医医院!

01.案例分享


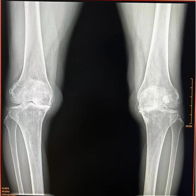
▲莫阿姨术前X线片

66岁的莫阿姨(化名),反复双膝关节疼痛、活动不利20年,伴关节弹响,行走、上下楼梯及深蹲时加重,经多年反复保守治疗未见好转,至今已严重影响生活质量,于是莫阿姨来到该院骨伤科就诊。骨伤科施能槐主任医师接诊后,详细询问病史及查体,诊断为双侧膝关节骨性关节病(重度),目前左膝疼痛为主,建议行左膝关节单髁置换术。患者及家属给予骨伤科团队充分的信任,希望通过手术解决谢阿姨多年的疼痛困扰。骨伤科团队经过术前检查及准备,在施能槐副院长带领下顺利完成左膝关节单髁置换手术。

▲施能槐副院长指导患者术后康复训练视频

术后6小时,莫阿姨麻醉醒来后已能在助行器辅助下下床行走,术后1周便可丢弃助行器行走自如,1月后关节功能恢复良好,生活恢复正常。在莫阿姨的充分信任和该院骨伤科精湛技术的共同努力下,莫阿姨重新收获了一个生活质量美好的晚年。

▲莫阿姨术后行走视频

▲莫阿姨术后X线片

02.医学科普

▲膝关节单髁置换示意图

人工膝关节置换技术是膝骨关节病终末期治疗的优选方法,是精确到毫米级的手术。它对人员的资质、手术室的各项标准、手术团队、以及相关科室和设备设施条件均有严格规范的要求。

膝关节单髁置换手术,顾名思义,就是仅对膝关节中的某一侧(内侧或外侧)进行置换,以恢复关节功能、减轻疼痛。与传统的全膝关节置换手术相比,单髁置换手术具有创伤小、恢复快、手术外表美观等优点。

▲全膝关节表面置换术

人工膝关节置换技术是一种有效解决膝关节病损问题的方法。结合该科特色,术后再配合中医中药治疗,以及预防膝关节磨损等方面的技术技巧,将为患者的快速康复提供多方位保障。被膝骨关节病痛折磨的患者或者家属可以通过了解该手术的特点、过程、优势与风险,更好地为自己或家人的健康做出正确选择。

目前,该院骨伤科团队已成功独立完成近50例膝关节置换手术,这个数据完全达到该项技术管理规范要求,这也标志着中医医院骨伤科在膝关节疾病方面的诊疗水平达到了一个新的高度。

(来源:鹿寨县中医医院)


打印本页 关闭

版权所有:(C) 2016 鹿寨县人民政府 主办:柳州市鹿寨县人民政府 承办:鹿寨县信息化建设中心 网站标识码:4502230046 维护电话:0772-6819789 仅受理网站建设维护相关事宜

地址:鹿寨县创业路2号 政府热线电话:0772-6812345 县政府邮箱:lzxzfbgs@126.com 投稿:lzzfw@126.com

桂ICP备06009684号-1 桂公网安备 45022302000043号 

返回 鹿寨动态 导航
区级认证!鹿寨这项技术为柳州市县域内唯一!

发布时间:2024-09-17 10:55 来源:鹿寨县融媒体中心

近日,鹿寨县中医医院开展的人工膝关节置换技术通过区级卫生行政部门临床应用能力评估,并获得柳州市骨科质控中心批准认可。这项技术不仅成为鹿寨县医疗领域的唯一,该院也成为柳州市县域内唯一一家具有开展此项技术资质的三级中医医院!

01.案例分享


▲莫阿姨术前X线片

66岁的莫阿姨(化名),反复双膝关节疼痛、活动不利20年,伴关节弹响,行走、上下楼梯及深蹲时加重,经多年反复保守治疗未见好转,至今已严重影响生活质量,于是莫阿姨来到该院骨伤科就诊。骨伤科施能槐主任医师接诊后,详细询问病史及查体,诊断为双侧膝关节骨性关节病(重度),目前左膝疼痛为主,建议行左膝关节单髁置换术。患者及家属给予骨伤科团队充分的信任,希望通过手术解决谢阿姨多年的疼痛困扰。骨伤科团队经过术前检查及准备,在施能槐副院长带领下顺利完成左膝关节单髁置换手术。

▲施能槐副院长指导患者术后康复训练视频

术后6小时,莫阿姨麻醉醒来后已能在助行器辅助下下床行走,术后1周便可丢弃助行器行走自如,1月后关节功能恢复良好,生活恢复正常。在莫阿姨的充分信任和该院骨伤科精湛技术的共同努力下,莫阿姨重新收获了一个生活质量美好的晚年。

▲莫阿姨术后行走视频

▲莫阿姨术后X线片

02.医学科普

▲膝关节单髁置换示意图

人工膝关节置换技术是膝骨关节病终末期治疗的优选方法,是精确到毫米级的手术。它对人员的资质、手术室的各项标准、手术团队、以及相关科室和设备设施条件均有严格规范的要求。

膝关节单髁置换手术,顾名思义,就是仅对膝关节中的某一侧(内侧或外侧)进行置换,以恢复关节功能、减轻疼痛。与传统的全膝关节置换手术相比,单髁置换手术具有创伤小、恢复快、手术外表美观等优点。

▲全膝关节表面置换术

人工膝关节置换技术是一种有效解决膝关节病损问题的方法。结合该科特色,术后再配合中医中药治疗,以及预防膝关节磨损等方面的技术技巧,将为患者的快速康复提供多方位保障。被膝骨关节病痛折磨的患者或者家属可以通过了解该手术的特点、过程、优势与风险,更好地为自己或家人的健康做出正确选择。

目前,该院骨伤科团队已成功独立完成近50例膝关节置换手术,这个数据完全达到该项技术管理规范要求,这也标志着中医医院骨伤科在膝关节疾病方面的诊疗水平达到了一个新的高度。

(来源:鹿寨县中医医院)


版权所有:(C) 2016 鹿寨县人民政府

地址:鹿寨县创业路2号 政府热线电话:0772-6812345

县政府邮箱:lzxzfbgs126.com 投稿:lzzfw126.com

维护电话:0772-6819789 网站标识码:4502230046